Главная Карта сайта
Алескеров Эльчин Шахинович

Фото →

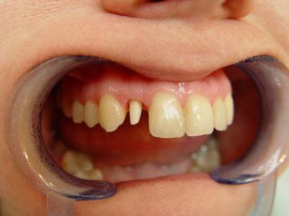
Протезирование безметалловой керамикой:
 


Выберите фото:
..
..

..
..
..

..
..
..

..
..
..

..
..
..

..
..
..

..